Our Range of Comprehensive Dental Care
At Cappelli Dental, we provide complete dental care for children, teens, and adults, combining advanced technology, clinical excellence, and a patient-centered approach. Our goal is simple: healthy, functional, and beautiful smiles for every stage of life.
Preventive & General Dentistry
Dental Cleanings & Exams
Routine cleanings and exams are the foundation of lifelong oral health. Our professional cleanings remove plaque and tartar, prevent gum disease, and help detect potential issues early—before they become costly or painful. We tailor care for both children and adults and emphasize education, comfort, and prevention.
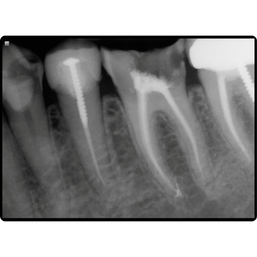
Digital X-Rays & Oral Cancer Screenings
We use modern digital imaging and thorough examinations to monitor oral health, diagnose concerns accurately, and ensure early detection of oral cancer and other conditions.
Pediatric Dentistry (Children’s Dental Care)
We proudly care for children of all ages, creating positive dental experiences in a calm and friendly environment. Pediatric services include:
- Routine cleanings and exams
- Cavity prevention and fillings
- Dental sealants
- Early orthodontic and growth monitoring
- Education for parents and children on proper oral hygiene
Our goal is to help children build healthy habits and confidence at the dentist from a young age.
Restorative Dentistry
We restore damaged or worn teeth with:
- Tooth-colored fillings
- Crowns
- Bridges
- Implant-supported solutions
Our Focus is durability, comfort, and function.
Root Canal Therapy (Endodontics)
When infection or inflammation reaches the inner nerve of a tooth, root canal therapy can save it. Our advanced endodontic treatments:
- Relieve pain
- Eliminate infection
- Preserve your natural tooth
- Prevent the need for extraction
We prioritize comfort and precision, using modern techniques to ensure efficient and effective care.
Dental Implants
Dental implants are the gold standard for replacing missing teeth. They provide a permanent, stable solution that looks, feels, and functions like natural teeth. Implant services include:
- Single-tooth implants
- Multiple implants
- Implant-supported crowns and bridges
Implants restore confidence, chewing ability, and long-term oral health.
All-on-X / Full-Arch Implant Solutions
For patients missing many or all teeth, All-on-X offers a life-changing solution. This advanced technique uses four to six strategically placed implants to support a full arch of teeth.
- Immediate function in many cases
- Fixed, non-removable teeth
- Improved comfort, stability, and aesthetics
- Dramatic smile transformation
This is an ideal option for patients seeking a permanent alternative to dentures.
Cosmetic Dentistry
We provide a full range of cosmetic dental treatments tailored to your unique goals, including:
- Professional Teeth Whitening
- Cosmetic Bonding
- Porcelain Veneers
- Smile Makeovers
At Cappelli Dental, we believe cosmetic dentistry should look natural, feel comfortable, and support long-term oral health.
Full Mouth Reconstruction
Full mouth reconstruction is a comprehensive treatment plan designed for patients with extensive dental needs due to wear, damage, tooth loss, or bite issues. This personalized process may include:
- Crowns and bridges
- Implants
- Veneers
- Bite correction
- Restorative and cosmetic procedures
The goal is to restore function, comfort, health, and aesthetics—often transforming both the smile and quality of life.
Care for Adults & Seniors
Senior Care Dentistry at Cappelli Dental
As we age, our dental needs change. Senior dentistry focuses on maintining comfort, function, and overall health while addressing the unique challenges that come with aging. At Cappelli Dental, we provide personalized care designed to support long-term wellness, dignity, and quality of life.
Why Dental Care Is Essential For Seniors
Oral health directly impacts:
- Nutrition
- Speech
- Confidence
- Overall health
- Chronic Condition Management